Նախակենդանիների բազմազանությունը, ծագումը և նշանակությունը
Արմատոտանիների դասի ներկայացուցիչները.
Արմատոտանիների դասի կազմում ընդգրկված են՝
\(1.\) Խեցիավոր ամեոբաներ. խեցիավոր արմատոտանիներն ունեն օրգանական եղջերանման նյութից կազմված խեցի և ապրում են քաղցրահամ ջրերում: Նրանք շարժվում են կեղծ ոտիկները խեցուց դուրս հանելով:
Ներկայացուցիչներն են՝ դիֆլուգիան, արցելան:

\(2.\) Ծովային արմատոտանիներ կամ ֆորամինիֆերներ. ծովային արմատոտանիները բնակվում են բացառապես ծովային աղի ջրերում: Նրանց խեցին կազմված է ոչ թե օրգանական նյութից, այլ կրից: Կիրը նրանց օրգանիզմում ձևավորվում է միջավայրից, մասնավորապես՝ նրանց բջիջներում ծովային ջրի աղային կազմի փոխանակությունից:
Կիրը ձևավորում է արտաքին ամուր կմախք, որը նրանց մահից հետո ջրի հատակին առաջացնում է բնական կիր: Տվյալ կրային նստվածքները ծովերի հատակին առաջացրել են հնադարյան կրաքարերի հանքավայրեր:

\(3.\) Ճառագայթավորներ.

Արմատոտանիների դասի մակաբույծ ներկայացուցիչն է դիզենթերային ամեոբան: Այն բնակվում է մարդու աղիներում, որտեղ առաջացնում է արյունային փորլուծություն: Մարդը վարակվում է դիզենթերիային ամեոբային ցիստաներով կեղտոտ սննդի և ջրի միջոցով:

Ուշադրություն
Դիզենթերայի կանխարգելման նպատակով անհրաժեշտ է ձեռքերը լավ լվանալ, ջուրը եռացնել, իսկ սնունդը խնամքով մաքրել:
Արմատոտանիների մեծ մասը բազմացման ընթացքում ձեռք է բերում մտրակներ. դա հիմք է եզրակացնել, որ նրանց նախնիները մտրակավորներն են:
Արմատոտանիների խեցիների կարծր կմախքը նրանց ոչնչանալուց հետո իջնում է ջրի հատակ՝ միլիոնավոր տարիների ընթացքում առաջացնելով կրի, կավճի, կանաչ ավազաքարի նստվածքներ:
Ֆորամինիֆերների կմախքից է հիմնականում կազմված կավիճը, որը կիրառվում է դպրոցում: Կիրը օգտագործվում է շինարարության մեջ՝ պատերի սպիտակեցման համար:
Արմատոտանիների որոշ տեսակների գոյությունը հուշում է մոտակայքում նավթի առկայության մասին: Մետաղները և փայտը հղկելու ողորկաթուղթը ևս ստացվում է նախակենդանիների սիլիկահողային կմախքների կուտակումների մշակումից:
Մտրակավորների դասի ներկայացուցիչները.
Մտրակավոր նախակենդանիներից են՝
\(1.\) Բոդո: Բոդոյի բնակության միջավայրը հանդիսանում է աղտոտ ջրամբարը, որտեղ նա վարում է հետերոտրոֆ կենսակերպ և համարվում է կենդանական մտրակավոր: Բոդոն \(0,02\) մմ չափերով երկմտրակավոր օրգանիզմ է: Նրա մտրակներից մեկը ուղղված է հետ և կատարում է ղեկի դեր, իսկ մյուսը ուղղված է առաջ: Բոդոյին ևս բնորոշ է բջջաբերանի առկայությունը:

\(2\). Վոլվոքս: Վոլվոքսը ազատ կենսակերպ վարող, ավտոտրոֆ և գաղութային օրգանիզմ է: Վոլվոքսը համարվում է բուսական մտրակավոր: Վոլվոքսը կանաչ գույնի, գնդաձև, \(1-2\) մմ տրամագծով, հազարավոր բջիջներից կազմված գաղութային ձև է, որի խոռոչը լցված է դոնդողանման նյութով: Վոլվոքսի տանձաձև բջիջները ունեն երկուական մտրակ, որոնց ներդաշնակ շարժումներով գաղութը գլորվում է:
Վոլվոքսի օրգանիզմում նկատվում է բջիջների մասնագիտացում՝ կառուցվածքային և ֆունկցիոնալ տարբերություններ:
Վոլվոքսի և այլ գաղութային նախակենդանիների ուսումնասիրությունը հիմք է տալիս մտածել, որ բազմաբջիջ օրգանիզմներն առաջացել են միաբջիջների մասնագիտացված գաղութային ձևերից:
\(3\). Մակաբույծ մտրակավորներ: Նրանց մի մասը ապրում է մարդու օրգանիզմում և առաջացնում է ծանր հիվանդություններ: Օրինակ՝ մարդու բարակ աղիներում հաճախ բնակվում է լամբլիան, որը հրահրում է աղիների պատի բորբոքում: Տրիխոմոնադները ևս մարդու մակաբույծ մտրակավորներ են, որոնք հարուցում են սեռական ուղիների հիվանդություններ:
Տրիպանասոմաներից հայտնի է աֆրիկական քնախտ հիվանդության հարուցիչը, որը տեղափոխվում է ցեցե ճանճի միջոցով:
Տրիպանասոմաներից հայտնի է աֆրիկական քնախտ հիվանդության հարուցիչը, որը տեղափոխվում է ցեցե ճանճի միջոցով:

Մտրակավորները սնվում են ջրամբարներում եղած բակտերիաներով և փտած օրգանական նյութերով, դրանով իսկ մաքրելով ջուրը, իսկ հողում նպաստում են հողագոյացմանը: Միաժամանակ նրանք կեր են ծառայում ձկների, խեցգետնակերպերի, մոծակների թրթուրների համար:
Թարթիչավորների տիպի ներկայացուցիչները.

Մարդու աղիներում երբեմն ապրում է ամենամեծ նախակենդանին՝ խոշոր ինֆուզորիան, որի անվանումն է բալանտիդիում: Այն հարուցում է նույն ախտանշաններն, ինչ հիմնականում դիզենթերիային ամեոբան և մարդուն փոխանցվում է խոզերից:

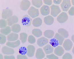
Սպորավորների տիպի ներկայացուցիչները. սպորավորները բացառապես մակաբույծ նախակենդանիներ են: Դրանցից են մալարիայի պլազմոդիումը, որը մալարիա հիվանդության հարուցիչն է և կոկցիդիաները՝ կենդանիների կոկցիդիոզ հիվանդություն առաջացնողները: Մալարիայի պլազմոդիումը իր թքագեղձերում կրում է անոֆելես մոծակը, որը սովորական մոծակից տարբերվում է առարկայի վրա նստելու դիրքով: Մոծակի խայթոցով մալարիայի պլազմոդիումը անցնում է մարդու արյան մեջ և վարակում:
![]() | ![]() |
Ուշադրություն
Մալարիան ծանր հիվանդություն է, որից զոհ է գնացել ողջ մարդկության համարյա կեսը:
Վարակը կանխելու համար չորացնում են ճահիճները, որտեղ բնակվում են մոծակները: Այն սպառնալիք է եղել նաև Հայաստանի հարավային շրջանների համար:
Աղբյուրները
Կենսաբանություն. Կենդանի օրգանիզմների բազմազանությունը, 7 դասարան // Տ. Թանգամյան, Ս. Սիսակյան // Երևան, «Տիգրան Մեծ», 2013, էջ 61-69
http://images.myshared.ru/5/389271/slide_42.jpg
http://arhe.msk.ru//wp-content/uploads/2018/04/2i6ilbv9tek-335x474.jpg
https://i0.wp.com/upload.wikimedia.org/wikipedia/commons/0/0e/Haeckel_Phaeodaria_1.jpg
http://medviki.com/images/thumb/c/cf/Trophozoites_of_Entamoeba_histolytica_with_ingested_erythrocytes.JPG/190px-Trophozoites_of_Entamoeba_histolytica_with_ingested_erythrocytes.JPG
https://reader.lecta.ru/demo/8092-65/data/images/autogen_233574.jpg
https://image.shutterstock.com/image-vector/close-giardia-260nw-30856705.jpg
https://t4.ftcdn.net/jpg/02/20/27/43/240_F_220274322_hKXtEd9ppE5txXG4qlNvPIp6B7MXT621.jpg
https://www.sciencedaily.com/images/2018/01/180125101325_1_540x360.jpg
http://topnews.kr.ua/img/20180824/30bfc80b3ab1f9fc3477f11bfbe759f2.jpg

