Մուտք
Մուտք
Գրանցում
Գլխավոր Էջ
Որոնում կայքում
ԹՈՓ
Ուսումնական հաստատություններ
Առարկաներ
Ստուգողական աշխատանքներ
Նորույթներ
Իմ+ բաժանորդագրություն
Նորություններ
Դասամիջոց
Գրեք մեզ
Document
Առարկաներ
Կենսաբանություն
7-րդ դասարան
Միաբջիջ կենդանիների ենթաթագավորություն
Նախակենդանիների ընդհանուր բնութագիրը
2.
Պարզագույնների հիմնական տիպերը
Առաջադրանքի/խնդրի պայմանը
2
Մ.
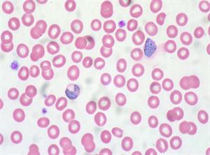
Ուսումնասիրի՛ր տրված նկարը և ընտրիր ճիշտ պատասխանը:
Նկարում պատկերված է
նախակենդանի
: Ընտրիր, թե որ
կարգաբանական
խմբին
է այն պատկանում:
սպորավորների տիպ
արմատոտանիների դաս
մտրակավորների դաս
Աղբյուրները
https://upload.wikimedia.org/wikipedia/commons/a/a0/Malaria_in_Peripheral_Blood_%286289093686%29.jpg
Մուտք
կամ
Արագ գրանցում
Նախորդ առաջադրանքը
Վերադառնալ թեմային
Հաջորդ առաջադրանքը
Գրեք մեզ
Սխա՞լ ես գտել
Տեղեկացրու մեզ